人类的大脑是所有器官中最复杂的一部份,并且是所有神经系统的中枢,掌管人类日常基本生活的处理,如呼吸、心跳、体温、血压、睡眠、觉醒、运动、平衡、情绪、记忆处理以及其它居家活动等。在颅内做手术,稍有不慎,轻则引起功能障碍,重则危及生命。近日,我院神经外科医务人员发扬勇于担当、甘冒风险的精神,成功地为一名患者实施巨大溴沟脑膜瘤切除手术。术后患者恢复良好,目前已经康复出院。

37岁的金某某,贵州黔东南人,在浦江等地帮人家开车已有10余年。家有贤惠的妻子和一个可爱的儿子,凭着自己的勤奋和努力,一家人过着幸福和平静的生活。不久前,家人和工友发现小金经常重复讲一件事情,好象讲过即忘,唠叨的像个老太太,但他自己从来不觉得有什么不妥,既无头痛也无头昏,手脚活动也十分利索。久而久之,被人家戴上“神经病”的帽子。
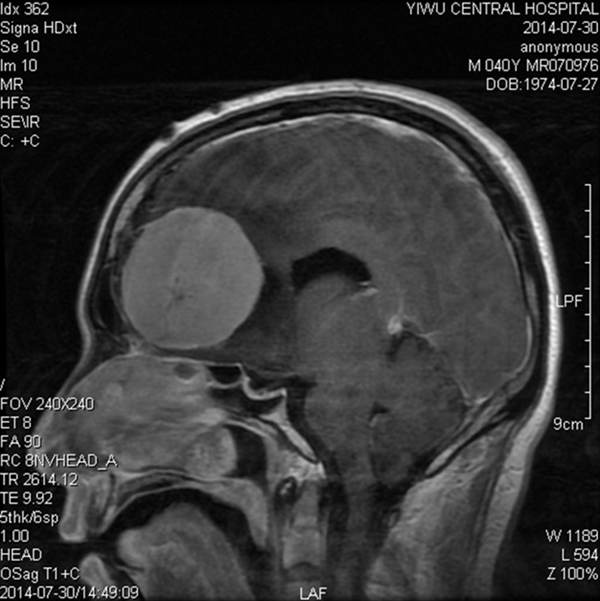
今年7月,小金经不起妻子的多次催促,到浦江某医院就诊,CT检查结果,把接诊的医师吓了一跳:小金的颅内居然长了一个巨大的肿瘤,占据了前颅窝的大部分位置。恐惧和忧伤击跨了小夫妻俩。一家人吃不下饭,睡不着觉。经人介绍,慕名前来我院就医。7月27日,金某入住神经外科病区后,经头颅CT检查,发现他的左额溴沟处有一个鹅蛋大小的巨大肿瘤,几乎占了整个大脑的1/6。
据神经外科主任医师陶志强介绍,溴沟脑膜瘤是颅底脑膜瘤的一种,由于病变位置较特殊,手术操作空间小,供血来源复杂,且与双侧大脑前动脉,以至脑垂体柄结构相邻,术中稍有不慎,可能会出现难以控制的大出血,后果不堪设想。尽管风险极高,但考虑到手术是挽救病人生命的唯一手段,还是大胆决定进行手术治疗,并制订了严密的手术方案,准备了二套电凝止血和吸引设备。
经过充分的术前准备,8月2日,神经外科主任医师陶志强、助手丁胜鸿和麻醉科、手术室的医护人员密切配合,在颅骨上钻孔8个,分别取下左右额部骨瓣。左额部尖角刀切开硬膜探及脑膜瘤,脑压板小心牵开脑组织,见肿瘤组织呈现鱼肉样,质地十分坚韧,血供丰富。术中在显微镜下分块切除肿瘤,两把双侧电凝止血。因肿瘤从颅底部腮动脉穿过颅骨供血,反复电凝止血困难,采用压迫止血成功。粘附于大脑前动脉上的肿瘤组织通过细致剥离成功。手术历经4多个小时,终于完美地切除了巨大肿瘤。
术后经过10余天的积极治疗,患者恢复良好,8月17康复出院。





浙公网安备 33078202000180号